设为首页收藏本站

汉山

 找回密码
 立即注册

QQ登录

只需一步,快速开始

扫一扫,访问微社区

搜索
热搜: 活动 交友 discuz
查看: 929|回复: 0
打印 上一主题 下一主题

10吋長刀刺穿臉 男孩幸運存活

[复制链接]

8244

主题

9798

帖子

8万

积分

版主

Rank: 7Rank: 7Rank: 7

积分
85221
跳转到指定楼层
楼主
发表于 2019-6-18 12:00:22 | 只看该作者 回帖奖励 |倒序浏览 |阅读模式
  編譯吳日君/綜合17日電 2019年06月18日 09:35   

  

  堪薩斯州15歲男孩葛瑞格被一把長刀刺穿臉,但幸運存活。圖為葛瑞格(右)手術後,母親吉米‧羅素(左)在病床旁照顧。(美聯社)


  


  堪薩斯州15歲男孩葛瑞格被一把長刀刺穿臉,但幸運存活。(美聯社)


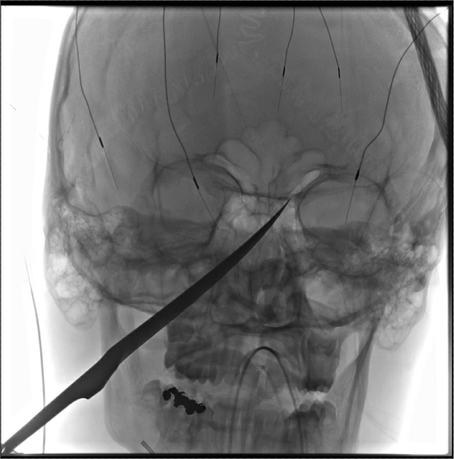
  堪薩斯州一名15歲男孩被一把長刀刺穿臉,但幸運存活,醫生表示,他實在相當幸運。


  吉米‧羅素(Jimmy Russell)表示,她的兒子葛瑞格(Eli Gregg)13日傍晚,在位於堪薩斯市南邊約90英里處瑞德費勒城的家外面玩耍,突然就聽見兒子尖叫聲音,她隨即跑出屋外,發現一把10吋刀子插進葛瑞格臉部眼睛下方,於是趕緊打電話給911。


  羅素說,兒子當時情況非常危急。大刀插進他的頭骨並延伸到大腦下方。同時,刀的尖端部分正推進為大腦提供血液的頸動脈。身體幾乎無法承受如此大的壓力,但他卻在這個情況下倖存。負責將刀取出的醫生艾柏索爾(Koji Ebersole)說,他原本不認為葛瑞格能存活。


  外科醫生團隊合作一項錯綜複雜的計畫,在意外發生的隔天14日上午取出插在葛瑞格臉部的刀。他們先為可能的大出血進入腦部而提前做準備,但手術進行順利,動脈保持完整。


  經過24個小時的手術後,葛瑞格能夠說話並解釋意外當時狀況。他預定於17日出院。羅素說,兒子表示自己將遠離尖銳物品。目前情況良好,應該可以完全康復,「這幾乎是個奇蹟。非常令人驚奇。」


  葛瑞格很幸運。去年也曾發生一起類似的意外,密蘇里州一名10歲男孩被烤肉串刺進頭部,緊急就醫在X光檢查時,情況同樣危及,肉串叉子從頭骨下面穿過,一直到脖子後面,但沒有穿過腦幹和主要神經。這名男孩是因為在樹屋被虎頭蜂攻擊,從樹上掉下來,讓在樹下的烤肉串直接插進腦部。經由手術,醫生們取出烤肉叉子,男孩也幸運存活康復。


  


  堪薩斯州15歲男孩葛瑞格被一把長刀刺穿臉,但幸運存活。(美聯社)


分享到:  QQ好友和群QQ好友和群 QQ空间QQ空间 腾讯微博腾讯微博 腾讯朋友腾讯朋友 微信微信
收藏收藏 分享分享
一直被朋友称为小博士。其实就是书读得多一些而已。
您需要登录后才可以回帖 登录 | 立即注册

本版积分规则

Archiver|手机版|小黑屋|汉山网    

GMT-5, 2025-10-19 18:09 , Processed in 0.069518 second(s), 23 queries .

Powered by Discuz! X3.2

© 2001-2013 Comsenz Inc.

快速回复 返回顶部 返回列表